Наши работы
История пациента
Пациентка обратилась в клинику с жалобами на эстетический недостаток и затрудненный прием пищи. На момент обращения на верхней челюсти были сохранны только 22, 23 и 27 зубы, на нижней челюсти жевательные зубы отсутствовали.
В качестве постоянных протезов пациентка выбрала металлокерамические коронки на 22, 23, 33 зубы и металлическая коронка на 27 зуб. Мы изготовили и установили частичный съемный протез с нейлоновыми пелотами на верхнюю челюсть и бюгельный протез с нейлоновыми пелотами на нижнюю челюсть.
Составил план и провел лечение

Акчурина Алсу Махмудовна
История пациента
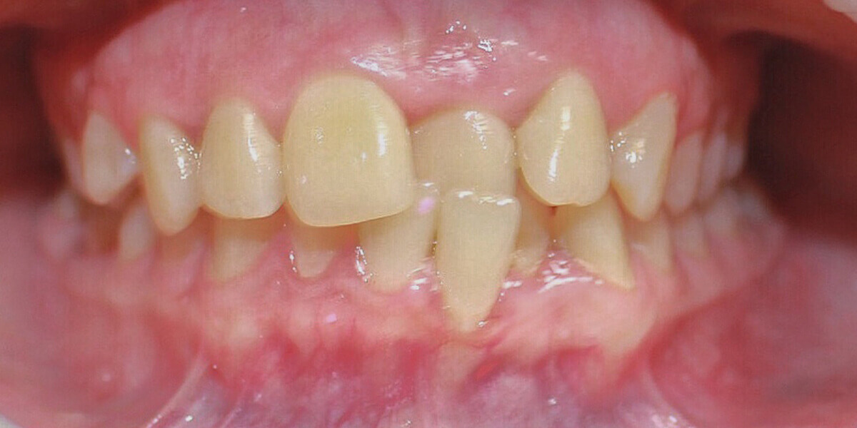
Пациентка обратилась в клинику с жалобами на эстетический недостаток, зубы реагировали на холодные напитки. Чувствительность появилась примерно 1,5 года назад.
Осмотр показал нарушение эмали 2 зубов в пришеечной области. Для выявления глубины поражения и состояния корней повреждённых зубов, провели рентген-обследование. Состояние корней хорошее, нервы на проблемных зубах не повреждены. Окончательный диагноз – клиновидный дефект.
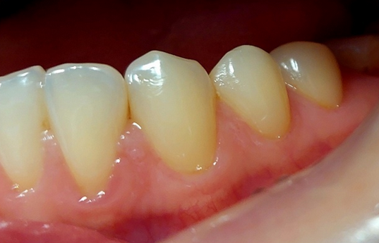
Пациентке предложили восстановить эмаль фотокомпозитным материалом с подбором цвета, чтобы не было заметно пломб. Стоимость лечения составила 13 000 рублей.
Осмотр показал нарушение эмали 2 зубов в пришеечной области. Для выявления глубины поражения и состояния корней повреждённых зубов, провели рентген-обследование. Состояние корней хорошее, нервы на проблемных зубах не повреждены. Окончательный диагноз – клиновидный дефект.
Пациентке предложили восстановить эмаль фотокомпозитным материалом с подбором цвета, чтобы не было заметно пломб. Стоимость лечения составила 13 000 рублей.
Составил план и провел лечение

Альбеков Али Ильдусович