Имплантация под ключ
«Имплантация под ключ» - это не реклама, а реальная и окончательная стоимость Вашего лечения.
Ничего не забыто! Всё зафиксировано на бумаге.
Сравнивая цены, пациенты видят только базовые элементы лечения, например цена импланта + цена коронки.
А такие «мелочи», как: формирователь десны, абатмент, слепки и прочее добавляют к финальной стоимости значительную сумму.
Рассмотрим на примерах составление плана «Имплантации под ключ».
Пример 1
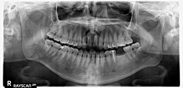
- Провели 3Д КТ обследование 2500 ₽.
- Осмотр и изучение 3Д снимков показал хорошее состояние полости рта, отсутствие кариозных полостей и каких либо воспалительных процессов.
- Пациентка хочет восстановить зуб коронкой на импланте.
- Ее интересует полная стоимость лечения.


- После внимательного изучения 3Д КТ снимков пациентке предложено провести имплантацию корейской системой OSSTEM, средней ценовой категории, с установкой коронки из диоксида циркония.
- Составили финансовый план лечения (смету), в котором учтены все манипуляции.
- Стоимость лечения «под ключ» составила 80 400 ₽. Срок лечения 6 месяцев.
- Пациентку устроила стоимость и график платежей. План распечатали и зафиксировали подписями.
- Анестезия 700 ₽
- Ретрактор 1150 ₽
- Установка импланта системы 27 000 ₽
- Наложение швов 4 × 250 ₽ = 1000 ₽

- Рентген контроль приживления импланта 1000 ₽
- Анестезия 700 ₽
- Установка формирователя десны 4 000 ₽
- Наложение швов 3 × 250 ₽ = 750 ₽
- Установка титанового абатмента 9 500 ₽
- Снятие слепков 2 × 5 000 ₽ = 10 000 ₽
- Изготовление коронки на имплант из диоксида циркония 23 800 ₽
- Фиксация коронки на имплант 1 500 ₽
Общая сумма соответствует с зафиксированной до начала лечения в финансовом плане.

Пример 2
- Провели 3Д КТ обследование 2500 ₽.
- В ходе осмотра состояние полости рта было хорошее, зубы рядом с отсутствующим были сохранены и не поражены кариесом.
- Пациента очень волновало, чтобы зуб не отличался от соседних.

После изучения снимков и учитывая пожелания пациента составили 2 варианта лечения.
1 вариант. Восстановить отсутствующий зуб мостовидным протезом.
Стоимость:
- Обточка 2 соседних зубов + снятие слепков 9 400 ₽
- Изготовление 3 коронк из ДЦ 3 × 18 000 = 54 000 ₽
- Фиксация 3 × 1 200 = 3 600 ₽.
- Итого: 67 000 ₽. Срок лечения 2 месяца.
2 вариант. Восстановить зуб коронкой на импланте. Срок лечении 7 месяцев.
Стоимость:
- Установка импланта + временный протез 46 000 ₽
- Установка формирователя десны 5 950 ₽
- Установка коронки из диоксида циркония на имплант 52 000 ₽
- Итого: 103 950 ₽. Срок лечения 7 месяцев.
У 1 варианта большой минус – обточка здоровых соседних зубов, но дешевле и быстрее. Мостовидный протез служит 5-7 лет.
2 вариант дольше и дороже, но надежнее и навсегда. Во время лечения отсутствующий зуб будет закрыт временной коронкой.
Взвесив все «за» и «против» пациент выбрал вариант 2 – надежность.
- Анестезия 700 ₽
- Ретрактор 1150 ₽
- Установка импланта системы Implantium 33 000 ₽.
- Наложение швов 3 х 250 ₽ = 750 ₽
- Изготовление временного протеза 14 000 ₽
- Рентген контроль приживления импланта 700 ₽
- Анестезия 700 ₽
- Установка формирователя десны 4 000 ₽
- Наложение швов 3 × 250 ₽ = 750 ₽
- Снятие слепков 2 × 5 000 ₽ = 10 000 ₽
- Изготовление коронки на имплант из диоксида циркония с винтовой фиксацией 42 000 ₽
- Закрытие шахты винта коронки 2 200 ₽
Общая сумма соответствует с зафиксированной до начала лечения в финансовом плане.

Цены на имплантацию
| Импланты | |
|---|---|
| Имплант ST (Ю. Корея) | 27 000 ₽ |
| Имплант Osstem TS IV (Ю. Корея) | 31 000 ₽ |
| Имплант Dentium-Implantium (Ю. Корея) | 33 000 ₽ |
| Имплант AnyRidge (Ю. Корея) | 55 000 ₽ |
| Имплант Astra Tech (Швеция) | 100 000 ₽ |
| Одномоментная имплантация | |
| Имплант + временная коронка | от 46 000 ₽ |