Протезирование мостами и другими конструкциями
Протезирование с опорами на «свои» зубы имеют как «плюсы» так и «минусы».
Главный «минус» - ограниченный срок эксплуатации, 5-7 лет, если внимательно ухаживать то более.
К «минусам» можно отнести:
- необходимость обточки опорных зубов.
- бюгельный протез необходимо периодически снимать для обслуживания.
К «плюсам» можно отнести:
- скорость изготовления,
- стоимость, по сравнению с имплантацией.
В нашей клинике вам предложат разные варианты протезирования.
Выбор всегда за пациентом.
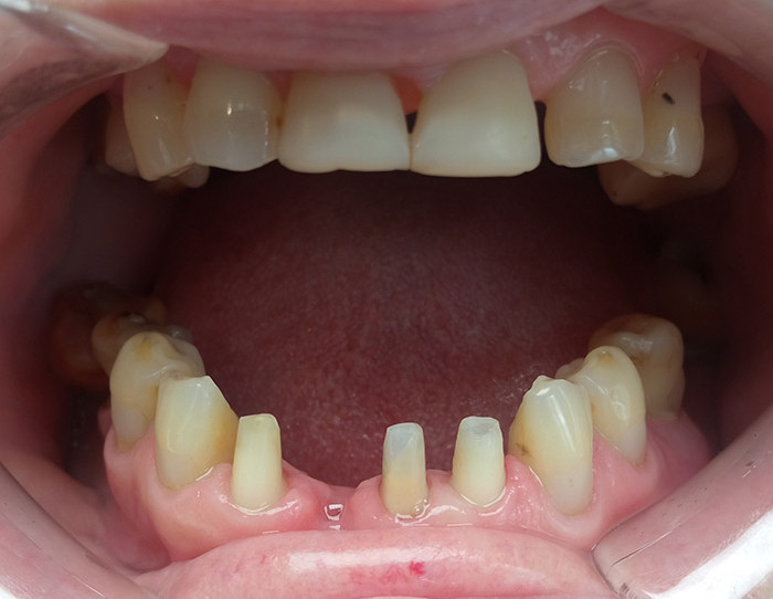
Рассмотрим пример изготовления мостовидного протеза.
Пациентке требуется срочно восстановить отсутствующий зуб, ее очень волнует внешний вид, зубы должны выглядеть «естественно».
- Провели 3Д КТ обследование для контроля состояния корней опорных зубов - 2000 ₽.
- Состояние 1-го опорного зуба позволяет провести протезирование мостовидным протезом, а 2-ой опорный зуб требуется лечение по диагнозу - пульпит.
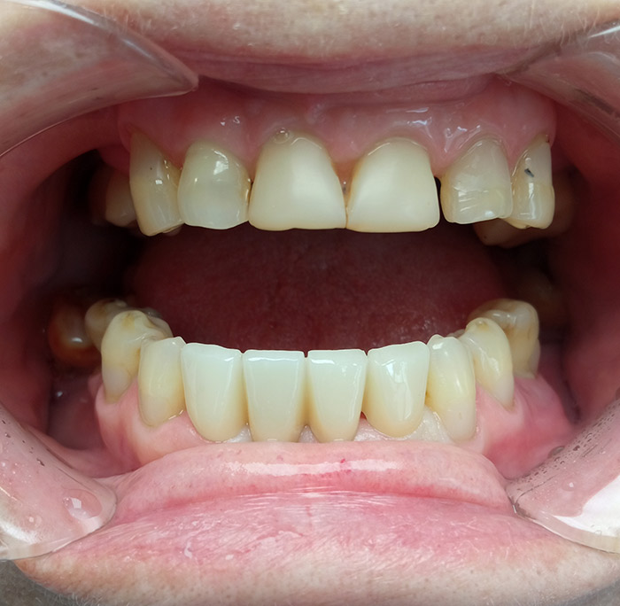
Пациентке предложено восстановить отсутствующий зуб мостовидным протезом с из диоксида циркония. Для повышения эстетического эффекта влючить в протез еще один передний зуб. Таким образом получится 4 ровных красивых зуба.
Пациентке предложенный вариант понравился и мя составили план лечения состаящий из 2-х этапов:
- 1 этап. Терапевтический – лечение пульпита.
- 2 этап. Ортопедический – изготовление и установка мостовидного протеза.

- Снятие слепков с верхней и нижней челюсти 2 × 4 700 = 9 400 ₽
- Изготовление мостовидного протеза из диоксида цирнкония 4 × 18 000 = 72 000 ₽
- Фиксация мостовидного протеза 3 × 1 200 = 3 600 ₽
Общая сумма соответствует с зафиксированной до начала лечения в финансовом плане.

Цены на протезирование
| Металлокерамическая коронка | 15 000 ₽ |
| Коронка из оксиде циркония | 20 000 ₽ |
| Безкаркасная керамическая коронка | 42 000 ₽ |
| Мостовидный протез | от 45 000 ₽ |
| Бюгельный протез | от 70 000 ₽ |