Лечение дёсен
Существует много методик лечения десен.
Наша клиника выбрала методику лазерной фотодинамики.
Почему лазер?
- Лазерное излучение убивает все бактерии, микробы и грибки, создавая защитную пленку.
- Не раздражает слизистую оболочку полости рта.
- Обладает противовоспалительным действием.
- Быстрый результат.
Лечение лазером заболеваний десны (пародонтит, пародонтоз) проходит в 2 этапа:
- удаления зубного камня и налета;
- десна и пародонтальные карманы обрабатываются специальным препаратом и засвечиваются лазером (фототерапия);
Эффект от лечения пациент ощущает уже после первой процедуры.
Если заболевание «запущено» - проводятся дополнительные сеансы фототерапии.
После лечения обязательно подберем нужные средства ухода за деснами и дадим необходимые рекомендации.
Лечим десны лазером более 15 лет!
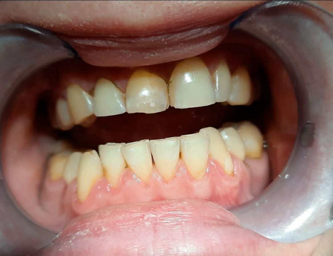
Фото
Пример результатов лечения десен лазером.

Фото до лечения

Фото после окончания лечения
Цены на лечение
| Лазерное лечение дёсен (1 сеанс) | 8 050 ₽ |
| Курс лазерного лечения | |
| Снятие мягкого зубного налета (1 зуб) | 250 ₽ |
| Снятие зубного камня (1 зуб) | 290 ₽ |