Брекеты
Мы знаем о брекетах всё!
Расскажем и покажем - в чем отличие брекетов нового поколения.
Как проходит консультация врача-ортодонта:
- Выбор с пациентом системы брекетов
- Составление плана лечения (подготовка + срок лечения)
- Расчет стоимости брекетов и стоимости лечения
Ищете брекеты для детей?
Переходите в раздел ортодонтическое лечение для детей и подростков.
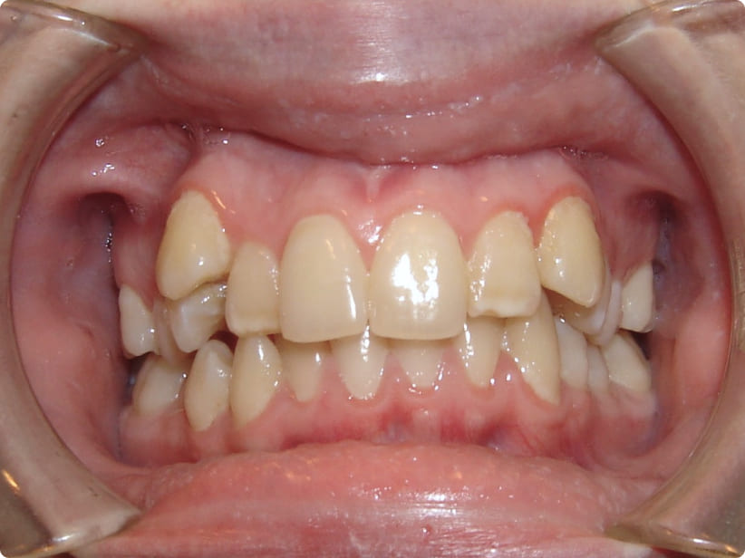
Пример
- Верхняя челюсть — неправильное положение клыков, короткое прикрепление уздечки верхней губы, кариес 6 зуба справа, кариес 4 зуба слева;
- Нижняя челюсть - сужение нижней челюсти, неправильное положение клыков, короткое прикрепление уздечки нижней губы, пульпит 4 зуба справа.
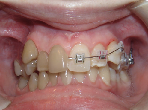
С пациентом составлен план лечения:
- Подготовка полости рта для установки брекетов – 14 дней
- Установка брекетов
- Ношение брекетов – 16 месяцев
- Снятие брекетов, фиксация результата

- Лечение кариеса на 3-х зубах - 20 000 ₽
- Коррекция уздечек верхней и нижней челюстей лазером - 8 000 ₽

- Верхняя челюсть — фиксация саморегулирующей керамической брекет-системы In-Ovator — С 90 000 ₽
- Нижняя челюсть — фиксация саморегулирующей металлической брекет-системы In-Ovator — R 75 000 ₽

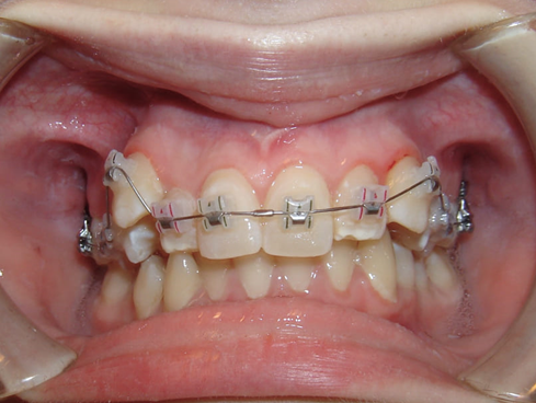
На протяжении 16 месяцев пациентка наблюдалась у врача.
Ежемесячно проводилась коррекция брекет-систем. А также проводились необходимые для достижения результата манипуляции: замена дуг и эластических цепочек, замена пружин, делались контрольные снимки, проводилась припасовка торковых изгибов, фиксация эластиков.
- • Ежемесячное обслуживание брекет-системы 16 х 6 000 ₽
Зубы встали ровно, прикус правильный.
Пациентка очень довольна результатом.
Для стабилизации результатов лечения пациентке было предложено зафиксировать данное положение зубов ретейнером.
На фото результат после установки ретейнеров.
- Установка ретейнеров на 2 челюсти 10 000 ₽
Предоставляем рассрочку на лечение (ношение брекетов)
Рассрочка предоставляется клиникой!

Задача врача в процессе лечения внимательно следить за:
- соотношение челюстей между собой
- расположение зубов
- состояние корней зубов и состояние кости челюсти
Только постоянный контроль гарантирует запланированный результат.
Цены
| Брекет-система металлическая | 75 000 ₽ |
| Брекет-система керамическая | 90 000 ₽ |
| Брекет-система сапфировая | 120 000 ₽ |
| Расчет соотношения челюстей | 5 000 ₽ |
| Изготовление диагностических моделей | Бесплатно |
| Фотопротокол | Бесплатно |
| Консультация | Бесплатно |